Centro Odontológico Dr. Teófilo Marques Seu tratamento dentário em um só lugar
Início A Clínica Equipe Tratamentos Especial Convênios Fale Conosco
TRATAMENTOS
Restaurações Estéticas Próteses Fixas e Removíveis
Endodontia Prevenção
Implantes Dentários Clareamento Dentário a Laser
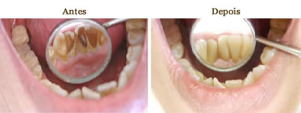
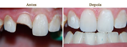
Fotos Tratamentos
Tratamento Tratamento
Tratamento Tratamento
Tratamento Tratamento
Tratamento Tratamento
Tratamento
© Copyright 2008 - 2025. www.teofilomarques.com.br - Todos os direitos reservados. Desenvolvido por: SAOL - Sistema de Administração Online